Halitosis Back

Bad breath, sometimes referred to as halitosis, may cause awkward social settings and can hinder career possibilities. Seeking halitosis therapy in Georgetown might assist in identifying and addressing the underlying reason of your persistent foul breath problems.

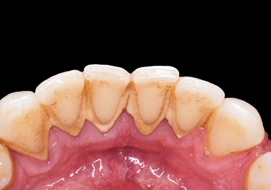
Halitosis may seem like a little problem, but it may be an indication of more serious health issues that need care. To rule out oral health problems and treat any dental conditions like renal disease or diabetes that could be causing your foul breath, it's crucial to first see your Georgetown dentist.

In order to reach nooks and crannies that are often inaccessible with routine brushing and flossing, we at Karas Dental Clinic in Georgetown treat halitosis with a professional cleaning and oral wash. To get rid of germs that are trapped behind the gum line, a thorough cleaning that includes scaling and root planing is often required.