Periodontal Disease Back

An infection of the gums, gingiva, alveolar bone, cementum, and periodontal ligament is known as gum disease. Gum disease usually develops in stages if left untreated.

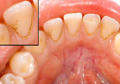
The first stage of gum disease is gingivitis. Gum irritation from plaque and its toxic byproducts makes the gums swollen, sensitive, and more prone to bleeding. Plaque will turn into tartar if treatment is not received. The gums start to pull away from the teeth as tartar and plaque continue to accumulate. Eventually, pus and germs fill the pockets that develop between the teeth and gums. The gums become swollen, irritated, and prone to bleeding. Additionally, patients may have mild to severe jawbone loss.

The kind and severity of the illness determine the treatment options for periodontal disease. Preventative treatment will be advised if the illness is discovered early. Scaling and root planning, two non-surgical gum treatment techniques, could be enough to cure less severe types of gum disease. Plaque removal from the tooth's surface right below the gum line is known as dental scaling. To polish the surface of the tooth's roots, root planing extends more under the gum line. The gums can reconnect correctly thanks to this technique.

More invasive surgical procedures could be required for individuals with more severe types of gum disease, such as advanced periodontitis and periodontitis. Gum and bone grafting are two of the many surgical gum remedies available.